Le bon usage des bains de bouche
Articles similaires
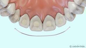
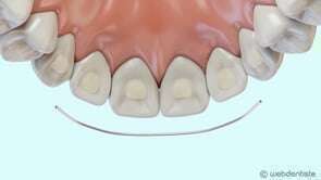
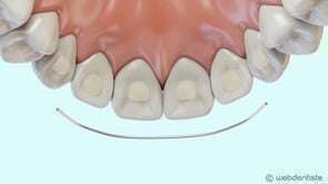
Contention de Hawley
Vidéos 3D
L'hygiène en orthodontie
Vidéos 3D
Centre Le Trézel
97118
Saint-François
Guadeloupe
Vidéo en cours de lecture
